1801006001- Short case
This is an online E log to discuss our patients de-identified health data shared after taking his/her/guardians signed informed consent.
Here we discuss our individual patients problems through series of inputs from available global online community of experts with an aim to solve those patients clinical problem with collective current best evidence based inputs.
This E log book also reflects my patients-centered online learning portfolio and your valuable inputs on the comment box is welcome.
Chief complaints:
A 55 YEAR OLD MALE CAME WITH C/O
ABDOMINAL DISTENTION SINCE 1 MONTH
DECREASED APPETITE SINCE 20 DAYS
FEVER SINCE 10 DAYS
History of present illness:
PATIENT WAS APPARENTLY ASYMPTOMATIC 1 MONTH BACK, THEN DEVELOPED ABDOMINAL DISTENTION WHICH IS INSIDIOUS IN ONSET AND GRADUALLY PROGRESSIVE.
FEVER SINCE 10 DAYS WHICH IS OF HIGH GRADE, ASSOCIATED WITH CHILLS AND RIGORS, RAISED DURING EVENING AND NIGHT AND RELIEVED ON MEDICATION.
HE ALSO HAD DECREASED APPETITE SINCE 20 DAYS
H/O BLACK COLOURED STOOLS FROM 10 DAYS
NO H/O PAIN ABDOMEN
NO H/O VOMITING
NO H/O LOOSE MOTIONS/CONSTIPATION
NO H/O BURNING MICTURITION
NO H/O HEMOPTYSIS
PAST HISTORY:
N/K/C/O HTN/DM/TB/CAD/CVA/THYROID DISORDER/EPILEPSY
PERSONAL HISTORY:
DIET- MIXED
APPETITE- DECREASED
SLEEP- ADEQUATE
BOWEL AND BLADDER MOVEMENTS- REGULAR
ADDICTIONS-
HE IS A CHRONIC ALCOHOLIC SINCE 30 YEARS( 2 QUARTERS/DAY). STOPPED SINCE 20 DAYS.
HE IS ALSO A CHRONIC SMOKER SINCE 30 YEARS( 9 BEEDI/DAY)
ON EXAMINATION:
PATIENT IS CONSCIOUS, COHERENT, COOPERATIVE
PALLOR- ABSENT
ICTERUS- ABSENT
CYANOSIS- ABSENT
CLUBBING- ABSENT
LYMPHADENOPATHY- ABSENT
EDEMA- ABSENT
VITALS :
AT THE TIME OF ADMISSION :
TEMP. : 97.2
PR : 88 BPM
RR : 18 CPM
BP : 100/60 MM HG
SpO2 : 98%
GRBS:108 GM/DL
WEIGHT -49.4KGS(6/7/23)--- 49KGS(7/3/23) --48.6KGS(8/3/23) ---47. 6KGS(9/3/23) ---47. 58 KGS(10/3/23)
ABDOMINAL GIRTH- 77.8CMS(6/3/23)---77.5CMS(7/3/23)---77 CMS(8/3/23)---73CMS(9/3/23) --78. 5CMS(10/3/23)
ON SYSTEMIC EXAMINATION:
CVS : S1, S2 HEARD
RS : BAE PRESENT
DECREASED BREATH SOUNDS IN LEFT IAA
P/A : TENDERNESS PRESENT IN EPIGASTRIC AND UMBLICAL REGIONS
CNS : HMF INTACT
INVESTIGATIONS:
ON 28/2/23
SERUM ELECTROLYTES
Sodium132
potassium 4.0
chloride 96
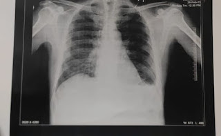
Xray chest
On 6/3/23
HEMOGRAM
Monocytes 19%
Pcv 39.5 vol%
Mch 35 pg
Rbc count 3.71 millions/cumm
LFT
Total bilirubin 1.14mg/dl
Direct bilirubin 0.33mg/dl
SGOT 47IU/L
Albumin 2.75gm/dl
RFT
Chloride 92 meq/l
ASCITIC TAP IS DONE ON 6/3/23-
ASCITIC TAP OF 450ML WAS DONE
ADA
100.5
MANTOUX TEST:DONE ON 8/3/23
BEFORE TEST














Comments
Post a Comment